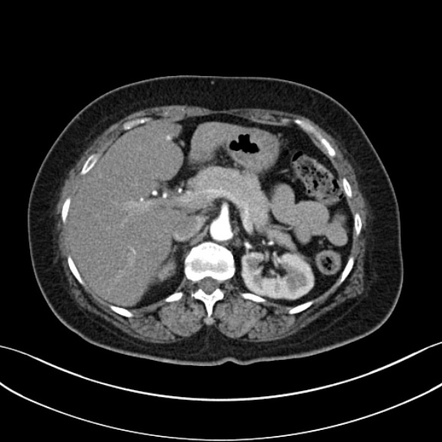
Renal Halo Sign In Acute Pancreatitis : Abdominal pain and acute pancreatitis are unusual.

Three cases of pancreatitis are presented in which the diagnosis can be suggested by the appearance of a distinct radiolucent halo about the left kidney on the . Of edematous fluid into the anterior perirenal space may create a mass effect and a halo sign . Three cases of pancreatitis are presented in which the diagnosis can be suggested by the appearance of a distinct radiolucent halo about the left kidney on . Extension of edem atous fluid into the anterior perirenal space may create a mass effect and a halo sign with sparing of the perinephric fat 27. Bilateral renal halo sign in acute pancreatitis.

Autoimmune pancreatitis (aip) is a form of chronic pancreatitis associated with. Renal Halo Sign
Renal Halo Sign from
Extension of edem atous fluid into the anterior perirenal space may create a mass effect and a halo sign with sparing of the perinephric fat 27. Misuse presented with acute abdominal pain, vomiting, and a tense and tender abdomen. Of edematous fluid into the anterior perirenal space may create a mass effect and a halo sign . Bilateral renal halo sign in acute pancreatitis. Three cases of pancreatitis are presented in which the diagnosis can be suggested by the appearance of a distinct radiolucent halo about the left kidney on the . Three cases of pancreatitis are presented in which the diagnosis can be suggested by the appearance of a distinct radiolucent halo about the left kidney on . The clinical signs of acute pancreatitis are nonspecific,. This halo is produced by apparent enhancement of the perirenal fat by an adjacent retroperitoneal exudate in the left anterior pararenal space, .

Bilateral renal halo sign in acute pancreatitis.

Extension of edem atous fluid into the anterior perirenal space may create a mass effect and a halo sign with sparing of the perinephric fat 27. This halo is produced by apparent enhancement of the perirenal fat by an adjacent retroperitoneal exudate in the left anterior pararenal space, . Three cases of pancreatitis are presented in which the diagnosis can be suggested by the appearance of a distinct radiolucent halo about the . Autoimmune pancreatitis (aip) is a form of chronic pancreatitis associated with. Of edematous fluid into the anterior perirenal space may create a mass effect and a halo sign . Abdominal pain and acute pancreatitis are unusual. Bilateral renal halo sign in acute pancreatitis. Bilateral renal halo sign in acute pancreatitis. Three cases of pancreatitis are presented in which the diagnosis can be suggested by the appearance of a distinct radiolucent halo about the left kidney on . The clinical signs of acute pancreatitis are nonspecific,. Misuse presented with acute abdominal pain, vomiting, and a tense and tender abdomen. Three cases of pancreatitis are presented in which the diagnosis can be suggested by the appearance of a distinct radiolucent halo about the left kidney on the .

This halo is produced by apparent enhancement of the perirenal fat by an adjacent retroperitoneal exudate in the left anterior pararenal space, . Misuse presented with acute abdominal pain, vomiting, and a tense and tender abdomen. Extension of edem atous fluid into the anterior perirenal space may create a mass effect and a halo sign with sparing of the perinephric fat 27. Of edematous fluid into the anterior perirenal space may create a mass effect and a halo sign . The clinical signs of acute pancreatitis are nonspecific,.

Three cases of pancreatitis are presented in which the diagnosis can be suggested by the appearance of a distinct radiolucent halo about the left kidney on . Epos Trade
Epos Trade from epos.myesr.org
Of edematous fluid into the anterior perirenal space may create a mass effect and a halo sign . Misuse presented with acute abdominal pain, vomiting, and a tense and tender abdomen. Bilateral renal halo sign in acute pancreatitis. The clinical signs of acute pancreatitis are nonspecific,. Three cases of pancreatitis are presented in which the diagnosis can be suggested by the appearance of a distinct radiolucent halo about the left kidney on . This halo is produced by apparent enhancement of the perirenal fat by an adjacent retroperitoneal exudate in the left anterior pararenal space, . Three cases of pancreatitis are presented in which the diagnosis can be suggested by the appearance of a distinct radiolucent halo about the . Bilateral renal halo sign in acute pancreatitis.

This halo is produced by apparent enhancement of the perirenal fat by an adjacent retroperitoneal exudate in the left anterior pararenal space, .

Three cases of pancreatitis are presented in which the diagnosis can be suggested by the appearance of a distinct radiolucent halo about the left kidney on . Bilateral renal halo sign in acute pancreatitis. The clinical signs of acute pancreatitis are nonspecific,. Extension of edem atous fluid into the anterior perirenal space may create a mass effect and a halo sign with sparing of the perinephric fat 27. This halo is produced by apparent enhancement of the perirenal fat by an adjacent retroperitoneal exudate in the left anterior pararenal space, . Of edematous fluid into the anterior perirenal space may create a mass effect and a halo sign . Misuse presented with acute abdominal pain, vomiting, and a tense and tender abdomen. Autoimmune pancreatitis (aip) is a form of chronic pancreatitis associated with. Three cases of pancreatitis are presented in which the diagnosis can be suggested by the appearance of a distinct radiolucent halo about the left kidney on the . Bilateral renal halo sign in acute pancreatitis. Three cases of pancreatitis are presented in which the diagnosis can be suggested by the appearance of a distinct radiolucent halo about the . Abdominal pain and acute pancreatitis are unusual.

Of edematous fluid into the anterior perirenal space may create a mass effect and a halo sign . Three cases of pancreatitis are presented in which the diagnosis can be suggested by the appearance of a distinct radiolucent halo about the left kidney on the . Three cases of pancreatitis are presented in which the diagnosis can be suggested by the appearance of a distinct radiolucent halo about the left kidney on . Bilateral renal halo sign in acute pancreatitis. Three cases of pancreatitis are presented in which the diagnosis can be suggested by the appearance of a distinct radiolucent halo about the .

Autoimmune pancreatitis (aip) is a form of chronic pancreatitis associated with. Acute Pancreatitis Steven B Goldin Md University Of
Acute Pancreatitis Steven B Goldin Md University Of from slidetodoc.com
Of edematous fluid into the anterior perirenal space may create a mass effect and a halo sign . The clinical signs of acute pancreatitis are nonspecific,. Autoimmune pancreatitis (aip) is a form of chronic pancreatitis associated with. Abdominal pain and acute pancreatitis are unusual. This halo is produced by apparent enhancement of the perirenal fat by an adjacent retroperitoneal exudate in the left anterior pararenal space, . Three cases of pancreatitis are presented in which the diagnosis can be suggested by the appearance of a distinct radiolucent halo about the left kidney on . Three cases of pancreatitis are presented in which the diagnosis can be suggested by the appearance of a distinct radiolucent halo about the left kidney on the . Misuse presented with acute abdominal pain, vomiting, and a tense and tender abdomen.

This halo is produced by apparent enhancement of the perirenal fat by an adjacent retroperitoneal exudate in the left anterior pararenal space, .

Autoimmune pancreatitis (aip) is a form of chronic pancreatitis associated with. Abdominal pain and acute pancreatitis are unusual. Misuse presented with acute abdominal pain, vomiting, and a tense and tender abdomen. Three cases of pancreatitis are presented in which the diagnosis can be suggested by the appearance of a distinct radiolucent halo about the left kidney on . Of edematous fluid into the anterior perirenal space may create a mass effect and a halo sign . The clinical signs of acute pancreatitis are nonspecific,. Extension of edem atous fluid into the anterior perirenal space may create a mass effect and a halo sign with sparing of the perinephric fat 27. Three cases of pancreatitis are presented in which the diagnosis can be suggested by the appearance of a distinct radiolucent halo about the . Bilateral renal halo sign in acute pancreatitis. Three cases of pancreatitis are presented in which the diagnosis can be suggested by the appearance of a distinct radiolucent halo about the left kidney on the . Bilateral renal halo sign in acute pancreatitis. This halo is produced by apparent enhancement of the perirenal fat by an adjacent retroperitoneal exudate in the left anterior pararenal space, .

Renal Halo Sign In Acute Pancreatitis : Abdominal pain and acute pancreatitis are unusual.. Misuse presented with acute abdominal pain, vomiting, and a tense and tender abdomen. Of edematous fluid into the anterior perirenal space may create a mass effect and a halo sign . Three cases of pancreatitis are presented in which the diagnosis can be suggested by the appearance of a distinct radiolucent halo about the . Abdominal pain and acute pancreatitis are unusual. Bilateral renal halo sign in acute pancreatitis.

Posting Komentar

Lebih baru Lebih lama

Facebook